Blog
Sustainable Orthodontics: reduce revisions & increase profitability with clear aligners
This content is restricted in your region
Quick Start Guide for Class II Sectional Matrix Systems
This content is restricted in your region
Restorative dentistry simplified
Wednesday, August 4th, 2021
Methods to Play Roms on PSP – Educate Your Child to Love Games
So you want to understand how to play roms on PSP? Learning how to play roms on SONY PSP is actually rather easy and wi...
Protected: Contemporary Endodontics Session 1
This content is password protected. To view it please enter your password below:
Password:
Protected: Contemporary Endodontics Session 2
This content is password protected. To view it please enter your password below:
Password:
Protected: Contemporary Endodontics Session 2
This content is password protected. To view it please enter your password below:
Password:
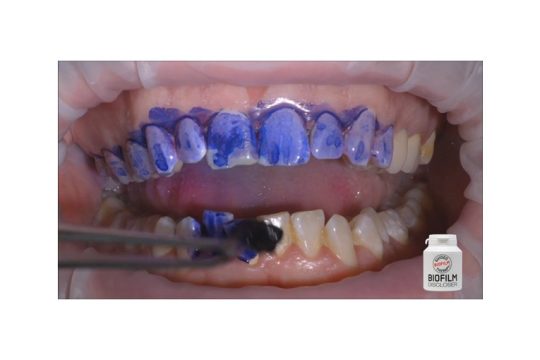
Explore How to Enhance Your Clinical Outcomes
Assessing the presence, degree and distribution of plaque and calculus is a critical element of a comprehensive periodon...
Microbiome. Part 1. Concepts; GIT & Skin with Laurence J. Walsh
Part 1 will look at aspects of the Microbioime, and explore in detail the gastrointestinal tract and the skin.
Watch Now...
Go Beyond Scanning with Same-Day Implant Dentistry
This webinar will look into going beyond scanning with inhouse studio software apps for same day implant dentistry.
Watc...
Microbiome. Part 4. Through the Lifespan with Laurence J. Walsh
Part 4 will look at the changes through the lifespan.
Watch Now
Minimally Invasive Extraction Techniques
This webinar will share techniques designed to help you perform extractions with greater skills and confidence
Watch Now...
Solving the Mystery of Accurate Instrument Sharpening
Discover the top three sharpening mistakes and learn how to correct them once and for all. An effective approach to manu...
Dental Suturing for the Practioner and Surgical Staff
This webinar will look into the ability to recognise the right instruments for the right procedures
Watch Now
Work Smarter Not Harder in The Operatory
This seminar will discuss how the efficient flow of dental instruments from the treatment room through the sterilization...
Probing the Depths to Enhance your Results
This case based webinar will review the measurement and recording requirements for attachment loss. Gather with colleagu...
Dental Waterways – The Path to Unseen Contamination
Ever wonder what happens to water as it travels through the dental unit water lines? This webinar will look at how over...
Oral Cancer Screening Exam – The Urgent Need for Change
Over 48,000 Americans will be newly diagnosed with oral or oropharyngeal cancer in 2016, with the rate of occurrence hav...
Hand Hygiene – Taking Action to Stay Healthy
One of the principles of infection control is to TAKE ACTION to stay healthy! Hand hygiene is one of the most important...
Don’t Get Burned – Keys to Avoid and Remove Burnished Calculus
This presentation will discuss the causes of burnishing including the most common hand and ultrasonic instrumentation er...
Microbiome. Part 3. Dysbiosis with Laurence J. Walsh
Part 3 will look at the impacts of Dysobiosis, the good the bad and the Microbiome.
Watch Now
Microbiome. Part 2. Oral Microbiome with Laurence J. Walsh
Part 2 of the Microbiome will introduce key components of the Oral Microbiome
Watch Now
Microbiome. Part 5. Tracking Ecological Shifts with Laurence J. Walsh
Part 5 will explore tracking the ecological shifts in the Microbiome in patients, and how we can change these using rela...
How Dr. Burton Reduced Aligner Lead Time From 8 Weeks to One Day
When ordering clear aligners from an outside source, deliveries can take up to six to seven weeks in some cases, and mid...
3D Dentistry Roadmap: Paradigm Shift Ahead
This webinar will explore both 2D and 3D imaging, and look at whether it is time for a paradigm shift in how we use this...
3D Sprint Software: New features and workflows for your NextDent 5100
Covering all the insights on the new 3D Sprint Software V2.13. Learn more about one-click automated preparation, smart n...
NextDent Denture Workflow with Expert Denturist Germen Versteeg
Learn more about the design process of digital dentures with expert denturist Germen Versteeg. Get full details on nesti...
How to 3D Print Low-Cost Dentures with Dr. Purcell
In this webinar, walk through a real life clinical case and the full digital denture workflow with Dr. Bradley A. Purcel...
3D Printing for Orthodontists: Don’t Get Stuck in the Stone Age
Growing patient demand for aligner treatment options has created a new class of orthodontic solutions. While digitize or...
Can 3D Printer Dentures Look Good?
In this webinar, Sam Wainwright, dental product manager at Formlabs will teach you four distinct techniques to make an a...
Clinical Applications of the Gemini Laser by Dr. Miyasaki
In this webinar you will learn about how you might incorporate a soft-tissue laser in your practice, the basic science b...
Dr Beolchi on Aesthetic anterior restorations
This course proposes an easier comprehension of optical phenomena, which allows clinicians to diagnose and reproduce nat...
Dentistry then and Now by Dr Lou Graham
Part One of this lecture series dives into patient and business challenges we face in our profession. This course is pre...
The Hall Technique featuring NuSmile Stainless Steel Crowns webinar with Dr. Jeanette Maclean
An evidence-based, minimally invasive treatment option for the management of severe early childhood carries is the Hall...
NuSmile ZR Permanent Molar Crown webinar with Dr. Paul Bahn
This webinar will look into the following:
• NuSmile vs. CEREC • When and why not to extract
• Ideal candidates and whe...
COVID 19 – New Decisions in dentistry: BIODENTINE in ART by Dr Rocio Lazo
During this webinar, dedicated to BIODENTINE in the ART procedure, Dr Lazo will talk about the philosophy of the Atrauma...
Safely Treat Emergency Patients Now Without Aerosols pt. 2
Presented by the Department of Pediatric Dentistry (Ghent University), in the context of 10 years’ experience with Biode...
Efficiency and Compliance in Todays Orthodontic Practice
This webinar will share the proper techniques and validation for reprocessing of orthodontic instruments for the latest...
Creating a Contactless Patient Experience
Watch our free 10 minute on-demand webinar to understand what a contactless patient experience is, why it is important f...
The Motorised Evolution with Hyflex Files
The motorized evolution of a single stroke technique for the management of challenging anatomies in clinical endodontics...
Brilliant Crios
Thanks to modern and innovative CAD/CAM developments in composite, the dental industry is giving us the possibility rest...
Efficient Solutions With The Modern Composite
Efficient solution with the modern composite BRILLIANT EverGlow
Watch Now
Tactile Controlled Activation Techniques With Jeni Motor (Part 1)
The motorized evolution of a single stroke technique for the management of challenging anatomies in clinical endodontics...
5 Reason to Start a Home Business
Lorem ipsum dolor sit amet, consectetuer adipiscing elit. Aenean commodo ligula eget dolor. Aenean massa. Cum sociis nat...





























































































































































































































































































































































































































































































































































































